|
Tunna snitt-serien axialt i Power Viewern ("MPR"), snittjocklek 7-10 mm, skelettfönster. Bekräfta att planet är vinkelrätt mot cristae iliacae (topogrammet kan användas som referens). Scrolla fram till spinae ischiadicae, mät där avståndet är kortast.
Tunna snitt-serien sagittalt i Power Viewern ("MPR"), snittjocklek 7-10 mm, skelettfönster. Scrolla fram till symfysens mitt. Mät det kortaste avståndet mellan symfysens kraniala-dorsala omfång och sacrums kraniala-ventrala omfång.
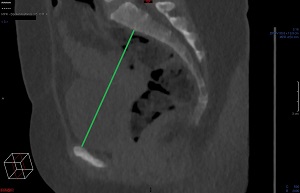
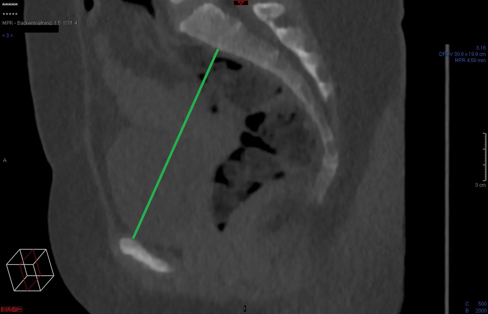
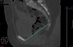
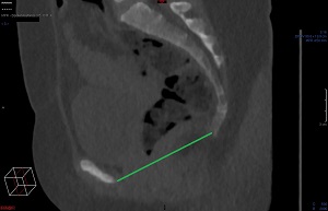
Tunna snitt-serien axialt i Power Viewern ("MPR"), snittjocklek 7-10 mm, skelettfönster. Scrolla fram till symfysens mitt. Mät det kortaste avståndet mellan symfysens kaudala-dorsala omfång och coccyx första böjbara led.
Tunna snitt-serien axialt i Power Viewern ("MPR"), snittjocklek 7-10 mm, skelettfönster. Scrolla fram till symfysens mitt. Mät det kortaste avståndet mellan symfysens kaudala-dorsala omfång och coccyxspetsen.
Tunna snitt-serien i 3D-modulen. Vinkla så att bäckenet blir rakt och att symfysen överlappar coccyx och spara en nyckelbild. Både diameter transversa och intertuberavståndet mäts i den sparade nyckelbilden (INTE i 3D-modulen).
Tunna snitt-serien i 3D-modulen. Vinkla så att bäckenet blir rakt och att symfysen överlappar coccyx och spara en nyckelbild. Både diameter transversa och intertuberavståndet mäts i den sparade nyckelbilden (INTE i 3D-modulen).
|